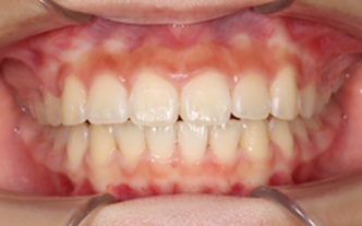
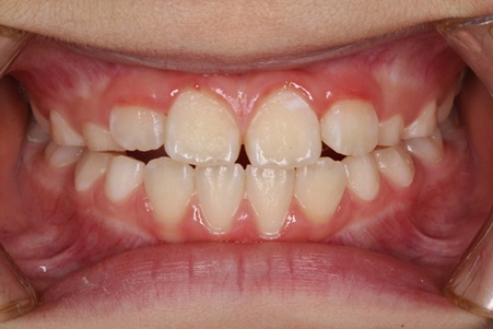
矯正症例#9 乱ぐい歯と過蓋咬合(ディープバイト)

治療内容 8歳女児の叢生(乱ぐい歯)と反対咬合の難しい症例です。上顎の歯列の幅が極端に狭く尖った形をしている「強度のV字歯列弓」が特徴的でした。このため、永久歯が正しく生え揃うためのスペースが不足しており、土台からの改善が必要な状態でした。
上顎にファンタイプの急速拡大装置を用いて骨格的に幅を広げ、V字型の歯列を綺麗なアーチ状に改善しました。下顎は3Dリンガルアーチで拡大後、上下にブラケット装置を装着して歯並びを整え、治療を完了しました。
治療期間・回数 6年
費用 80万円
リスク・副作用 矯正治療による歯の移動に伴う痛みがあります。治療終了後の保定が不十分の場合、後戻りの可能性があります。

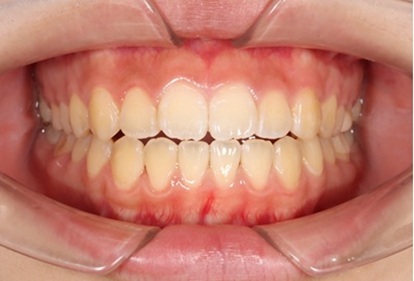
矯正症例#8 深い噛み合わせ・ディープバイト(小児矯正7歳)

治療内容 7歳男児の混合歯列期の症例です。上の前歯が下の歯を深く覆い隠す過蓋咬合(ディープバイト)が顕著です。また、下顎前歯には叢生(乱ぐい歯)も見られ、永久歯が正しく並ぶための咬合育成が必要な状態でした。
まずを上顎骨急速拡大装置を数か月用いて歯列の幅を拡大し、歯が並ぶスペース(土台)を確保しました。同時に3Dリンガルアーチを使用して奥歯の位置を整えていきました。その後、上下顎にブラケット装置を装着して歯列と噛み合わせの高さを精密に整え、緊密で美しい歯並びを確立しました。
治療期間・回数 5年6ヶ月
費用 80万円
リスク・副作用 矯正治療による歯の移動に伴う痛みがあります。治療終了後の保定が不十分の場合、後戻りの可能性があります。

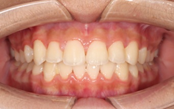
矯正症例#7 上顎が小さくてガタガタ(小児矯正7歳)

治療内容 上顎前突(7歳女性)。
急速拡大装置で上顎を拡げた。V字歯列弓だったため、ファンタイプの急速拡大装置を用いて上顎歯列弓を骨ごと綺麗なアーチにした。そのあと下あごを3Dリンガルで拡げてブラケットで整えた。
治療期間・回数 4年6か月(15回)
費用 80万円
リスク・副作用 矯正治療による歯の移動に伴う痛みがあります。治療終了後の保定が不十分の場合、後戻りの可能性があります。

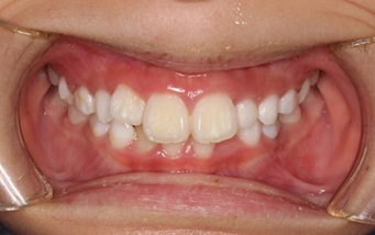
矯正症例#6 ガタガタ・出っ歯(小児矯正9歳)

治療内容 叢生・上顎前突(9歳女児)。
急速拡大装置で上顎を拡げた。強度のV字歯列弓だったため、ファンタイプの急速拡大装置を用いて上顎歯列弓を骨ごと綺麗なアーチにした。そのあと下あごを3Dリンガルで拡げてブラケットで整えた。
治療期間・回数 4年10か月(25回)
費用 80万円
リスク・副作用 矯正治療による歯の移動に伴う痛みがあります。治療終了後の保定が不十分の場合、後戻りの可能性があります。

矯正症例#5 ハイブリッド矯正(ブラケット矯正+マウスピース矯正)

治療内容 上顎前突(30代女性)。重度の叢生で下顎臼歯部が極度に内側(舌側)に倒れ込んでいたため、上下小臼歯の抜歯と、3Dクアッドアクションで下顎を拡げた。ブラケットで矯正後に、マウスピース矯正で歯並びを整えた(ハイブリッド矯正)
治療期間・回数 2年(20回)
費用 95万円
リスク・副作用 矯正治療による歯の移動に伴う痛みがあります。治療終了後の保定が不十分の場合、後戻りの可能性があります。

矯正症例#4 上下が水平にずれているケース

治療内容 水平にずれているケース(10代男性)。まず急速拡大装置で上顎を拡げた。その後、ブラケットで歯並びを整えると同時にエラスティックゴムで水平のずれを直して正中を合わせた。
治療期間・回数 2年(23回)
費用 80万円
リスク・副作用 矯正治療による歯の移動に伴う痛みがあります。治療終了後の保定が不十分の場合、後戻りの可能性があります。

矯正症例#3 ガタガタ歯(抜歯ケース)

治療内容 ガタガタ歯の症例(40代女性)。成人からの矯正で重度の叢生だったため、上下の小臼歯を抜歯して歯を並べるスペースを確保した。3Dクアッドアクションで下顎を拡げてブラケットで整えた。
治療期間・回数 3年(30回)
費用 80万円
リスク・副作用 矯正治療による歯の移動に伴う痛みがあります。治療終了後の保定が不十分の場合、後戻りの可能性があります。

矯正症例#2 ガタガタ歯(小児矯正)

治療内容 ガタガタ歯(10代女性)。急速拡大装置で上顎を拡げた。強度のV字歯列弓だったため、ファンタイプの急速拡大装置を用いて上顎歯列弓を骨ごと綺麗なアーチにした。そのあと下あごを3Dリンガルで拡げてブラケットで整えた。
治療期間・回数 3.5年(約35回)
費用 80万円
リスク・副作用 矯正治療による歯の移動に伴う痛みがあります。治療終了後の保定が不十分の場合、後戻りの可能性があります。

矯正症例#1 出っ歯・ガタガタ歯(非抜歯ケース)

治療内容 叢生・上顎前突(30代女性)。
非抜歯での矯正が可能と診断。上顎頬側の骨が十分にあったので、上顎臼歯部をクワドヘリックスで側方拡大(傾斜)させた。マルチループテクニックを用いた。
治療期間・回数 2年2か月(30回)
費用 80万円
リスク・副作用 矯正治療による歯の移動に伴う痛みがあります。治療終了後の保定が不十分の場合、後戻りの可能性があります。